与死神赛跑的白衣团队——我院神经内科专家在松阳分院成功完成首例脑梗死超急性期溶栓治疗
近日,我院双下沉专家神经内科王晓杭医师在松阳分院(松阳县中医院)成功完成了当地首例超急性期脑梗死静脉溶栓治疗。
金大伯今年73岁,12月11日中午在家中突发右侧肢体完全瘫痪、言语不能、反应迟钝,半小时后由家属送入我院松阳分院(松阳县中医院)急诊,急诊室医师立即邀请我院驻松阳分院专家神经内科王晓杭医师会诊。王医师到场后当即判断患者出现了急性大面积脑梗死,此时如果不进行溶栓治疗,患者预后可能极差,就算保住性命今后极有可能长期瘫痪在床。然而,在松阳县还从来没有医生进行过脑梗死超急性期的溶栓治疗,而如果转送上级医院则可能失去最佳的抢救时机。
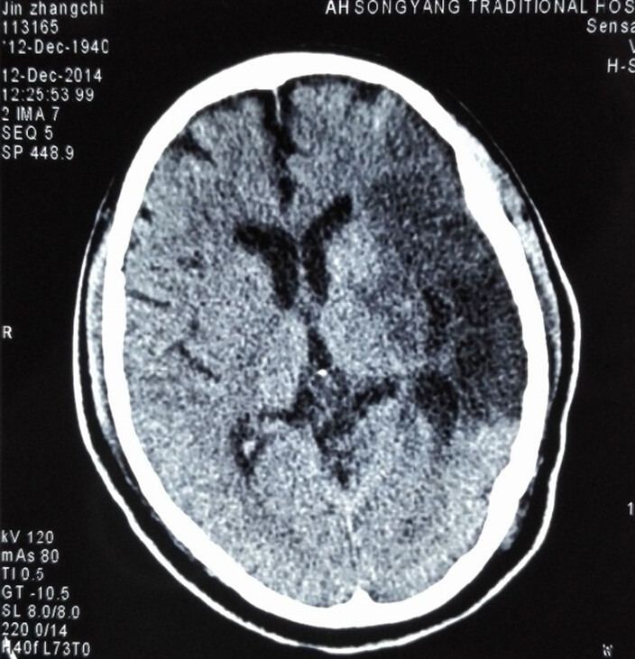
时间就是生命!在生死关头,我院派驻的专家王晓杭与家属作了必要而充分沟通并知情同意后,在相关科室密切配合下,带领该院医疗团队开始给患者进行溶栓治疗。后续病情发展让所有人都非常惊喜,当天下午金大伯右下肢就能抬了起来,第二天早上右上肢也能抬起来了。一天后复查的脑CT也证实了之前的判断,显示出左侧额、颞、顶叶大片新发脑梗死灶;如果不溶栓治疗的话肯定会导致严重的瘫痪。溶栓结束后,经过王晓杭医师和神经康复科医护人员的精心治疗,一周后金大伯虽然语言功能还没完全恢复,但已经可以独立行走(见图),日常生活也能基本自理。当他得知王晓杭就是他的主治医生后,他握着王晓杭的手久久不愿松开。
采用rt-PA超急性期脑梗死静脉溶栓治疗得到了各国指南的一致推荐。但是由于溶栓治疗同时存在着可致颅内出血等重大风险,技术要求很高,在术前、术中和术后对患者要有专业的神经系统和全身情况的评估、监测和处理,所以一些基层医院一直没有开展。此次我院神经内科先后选派专家“下沉”,在松阳县中医院加强神经专科知识培训,帮助推进学科建设,适时开展新技术新项目,提升了当地的医疗卫生服务水平,为当地脑血管意外患者带来了福音,受到了当地百姓的欢迎。
(附图为复查头颅CT显示左侧大面积脑梗塞及该患者与医务人员合影)

编者按:就在采写本报道的同时,又有一名当地的急性脑梗死的患者在发病后慕名前来,并成功地进行了溶栓治疗,目前该患者肢体功能恢复良好。