我院神经外科成功完成一例侧脑室巨大肿瘤切除手术
字号:
小
中
大
近日,神经外科为一位侧脑室巨大肿瘤患者成功施行了肿瘤切除术。
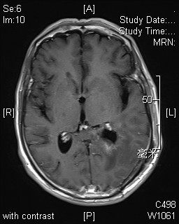
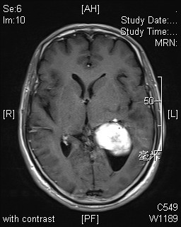
患者男性,62岁,因“反复头晕半月余”入院,颅脑MRI提示:左侧侧脑室肿瘤伴脑室周围脑水肿。肿瘤大小约5*4*4厘米。
侧脑室肿瘤仅占脑室内肿瘤总数的1%,脑积水与肿瘤占位效应是引起症状的原因。由于肿瘤多为良性及低度恶性,生长缓慢,对放、化疗多不敏感,因此,手术是唯一的治疗方式。原则上应全切肿瘤并恢复脑脊液循环通路。由于瘤体位置较深,肿瘤较大,且多邻近丘脑、脑干等重要结构,手术切除极为困难。手术总原则是设计一个不损伤重要皮质的入路,目前没有一种是能够同时达到视野好、血供来源阻断完全及无重要功能损伤这个要求的。
神经外科竺国充副主任医师和徐震主治医师,术前仔细研究影像学资料,分析肿瘤准确位置、大小及血供情况。考虑肿瘤位于优势半球,选择最适手术入路。2014年7月2日在麻醉科胡弘毅医师及手术室护士配合下为患者成功施行了手术。术中见肿瘤占据侧脑室三角部及体部、与丘脑及脉络丛组织粘连紧密。部分突入颞角,比邻脑干。竺国充和徐震医师在显微镜下仔细分离,历时5个小时,终于将患者脑室内肿瘤完全切除,脑脊液通路完全打通,术后复查MRI未见肿瘤信号,脑室形态恢复正常。术后病理结果为透明细胞室管膜瘤,术后患者未遗留神经功能障碍。
此类手术的成功,标志着我院神经外科在脑肿瘤手术治疗水平上又掀开了新的篇章,将为更多此类患者带来福音。

术前MRI 术后MRI
神经外科 徐震